코로나 증상도 다시 생기고 날씨가 오락가락하면서 이비인후과에 사람들이 몰리고 있는 요즘입니다. 기관지 건강을 챙기고 기관기염에 대한 증상 및 전염 유무를 알아보고 기관지에 좋은 음식들에 대해서도 소개해보겠습니다. 이번 글을 통해 목 목 건강관리를 잘하시는 여러분들이 되시길 바랍니다.

기관지염 증상
기침 : 가장 흔한 중 하나로써, 특히 밤이나 새벽에 심해지는 경우가 많습니다. 가래가 따라오는 건조한 기침을 가능성이 농후합니다.
가래 : 투명하거나 노란색, 녹색 등 다양한 색깔의 가래가 생깁니다. 가래는 염증으로 인한 분비물이며, 종류에 따라 질병의 정도를 가늠할 수 있습니다.


호흡 곤란 : 기관지의 염증으로 인해 기도가 좁아지면서 호흡이 어려워 질 수 있습니다.
가슴 통증 : 가슴의 불편함이나 통증을 유발될 수 있습니다.
기관지 경련 : 기관지가 경련되면서 쉰 흡입 소리가 나거나 기침이 유발되는 경우가 잦게 나타납니다.
흉부 답증 : 가끔 흉부가 쑤시거나 뻐근한 느낌이 들 수 있습니다.
체력 감소 : 만성적인 기관지염이 있는 경우, 체력이 떨어지며 급격히 피로가 쌓일 수 있습니다.
기관지염의 전염성
기관지염은 일반적으로 직접적인 전염은 되지 않습니다. 주로 바이러스나 세균, 화학물질 등에 노출되거나 흡연, 대기 오염, 알레르기 등과 같은 환경적인 요인에 의해 유발되는 경우가 대다수입니다.

하지만 바이러스나 세균이 기관지염을 유발하는 경우, 해당 감염병이 전파되는 경우가 있습니다. 특히 감기나 독감과 같은 감염이 있는 병은 호흡기 분비물을 통해 공기 중에서 전파될 수 있습니다. 이러한 감염병이 전파되면서 기관지염도 같이 발생할 수 있습니다.
기관지염 환자와 가까이 있거나 환경 요인에 노출된 경우에도 예방을 위해 개인위생 수칙을 준수하고 마스크 착용을 생활화하는 것이 필요합니다. 특히 감기나 독감 시기에는 손을 자주 씻고 자신의 면역력을 위해 예방하는 것이 좋습니다.
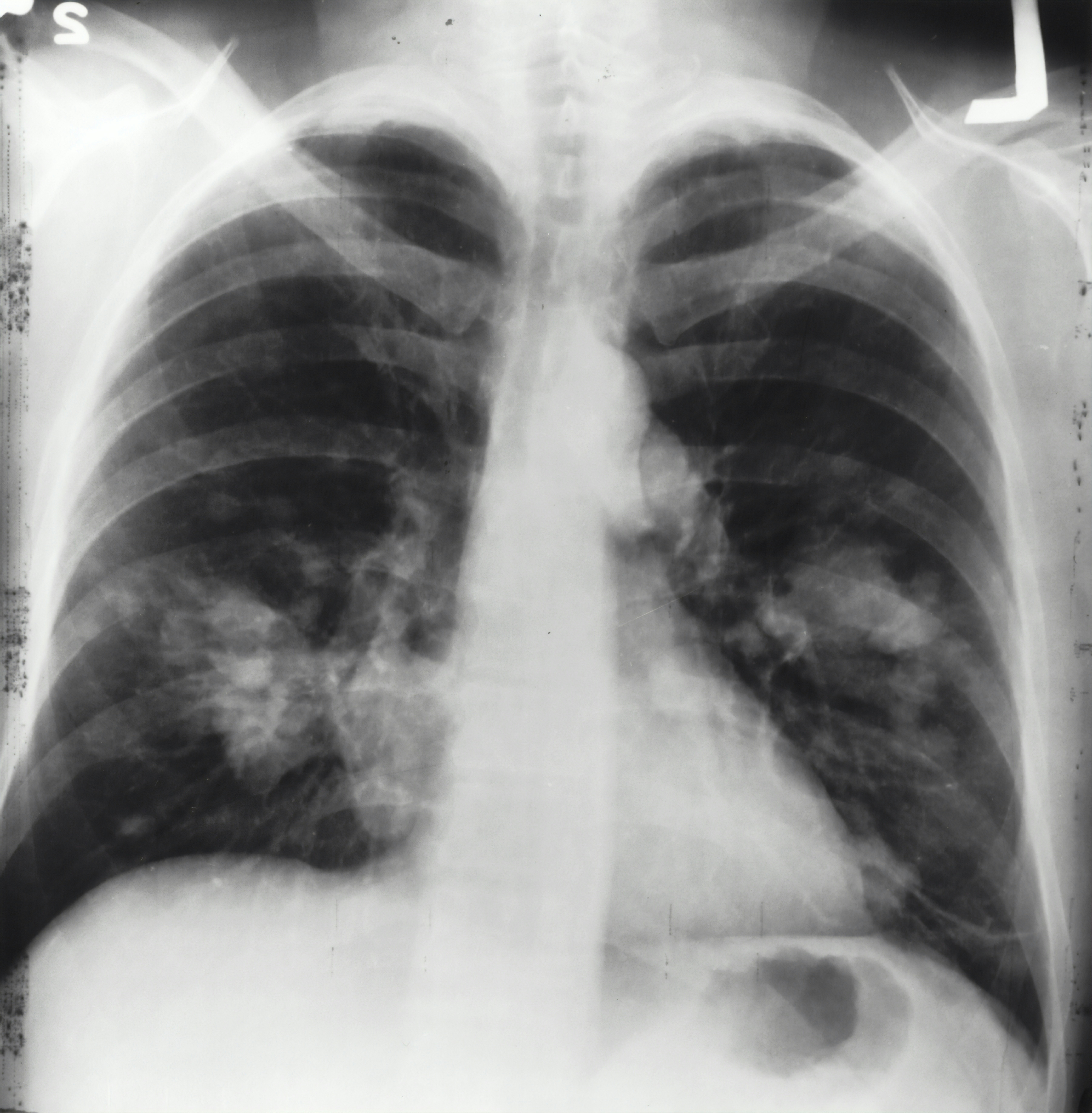
기관지염과 폐렴
기관지염과 폐렴은 호흡기의 일부에 위치한 질환으로서 서로 연관성이 있을 수 있습니다. 기관지염은 기관지의 염증으로 인한 질환으로써 주로 기침, 가래, 호흡 곤란 등의 반응이 생기고 폐렴은 폐의 세포에 염증이 발생하는 질환으로 기관지염과 비슷한 증상들이 발생합니다.


감염의 전이 - 기관지염이나 다른 감염 질환들은 종종 하부 호흡기인 폐로 전이되는 경우가 있습니다. 특히 기관지에서 나오는 가래나 분비물이 폐로 향하면, 폐에 감염이 발생할 수도 있습니다.
면역 약화 - 기관지염으로 인해 호흡기계의 면역력이 떨어진다면 다른 감염에 대한 저항력도 감소할 수 있습니다. 이로 인해 폐렴균이나 다른 감염원이 더 쉽게 폐에 침입할 수 있습니다.
동시 발생 가능성 - 기관지염과 폐렴은 동시에 발생할 수 있습니다. 특히 기관지염으로 인해 호흡기계의 상부가 약해지면, 폐렴균이 더 쉽게 침입하여 폐렴을 일으킵니다.
기관지에 좋은 음식 및 차 종류
오렌지, 딸기, 브로콜리, 당근 등은 안토시아닌 성분과 비타민 C의 함유로 인해 염증을 줄이며 기관지에 도움을 줄 수 있습니다.


오메가 3 함유 음식 : 연어, 멸치 등 생선류도 기관지에 좋은 영향을 끼칠 수 있습니다.
알리아신과 퀴어세틴이 풍부한 식품 : 양파, 대파, 마늘 등 항염증 성분이 풍부한 식품을 찾아보는 것이 좋습니다.
녹차 : 카테킨이라는 성분으로 인해 기관지 염증을 완화시킬 수 있습니다.
생강차 : 항균 작용과 항염증 효과가 있어 기침 및 가래를 완화시키며 소화력을 좋게 해줄 수 있습니다.
카모마일 : 카모마일렌이라는 항염증 성분으로 인해 호흡기를 진정시키며 안정적인 수면을 촉진시켜 줍니다.